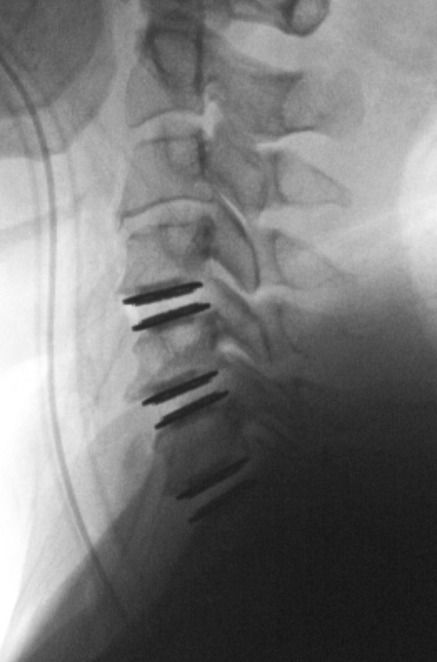
الدوحة - سيف الحموري - أجرى الجراح العالمي د. أليكساندر راسولي القادم من الولايات المتحدة الأمريكية المختص بجراحة العمود الفقري العملية المعقدة بنجاح خلال مدة 90 دقيقة فقط
أعلن مستشفى "ذا فيو" عن زيارة الجراح العالمي الدكتور أليكساندر راسولي المختص بجراحة العمود الفقري والقادم من بيفيرلي هيلز، كاليفورنيا - الولايات المتحدة الأمريكية وقيامه بعملية استبدال القرص الاصطناعي للعمود الفقري للرقبة على ثالثة مستويات. تم إجراء العملية المعقدة في مدة 90 دقيقة فقط من قبل الدكتور ألكساندر راسولي، وهو مختص بطب العمود الفقري الجراحي وغير الجراحي وحاصل على البورد الأميريكي وهو مختص في العلاج الجراحي وغير الجراحي لاضطرابات العنق والصدر والعجز العمودي للعمود الفقري، والاضطرابات التنكسية، وإصابات العمود الفقري، وتشوهات الكبار والأطفال بما في ذلك اعوجاج العمود الفقري، وأورام العمود الفقري، والجراحة القليلة التدخل. اكتسب الدكتور راسولي شهرة في مجال اضطرابات العمود الفقري بعد اكتشافه في عام 2007 لطريقة جديدة لإعادة توليد الخلايا العصبية التالفة بسبب إصابات الحبل الشوكي باستخدام زراعة الأعصاب المحيطية.
تمكنت المريضة التي أجريت لها العملية بنجاح فائق من المشي بدون أي آلام وكانت جاهزة للخروج من المستشفى في ذات اليوم ويتم حاليًا متابعة حالتها الصحية من قبل الفريق المختص.
في تعليقه عن زيارته لمستشفى ذا فيوس ، قال الدكتور ألكساندر راسولي: زلقد سعدت بالقدوم إلى مستشفى زذا فيوس في الدوحة - قطر، لاجراء أول عملية في المنطقة لاستبدال القرص الاصطناعي للفقرات العنقية على ثالثة مستويات. لم يكن بالامكان إجراء العملية دون الكادر المميز والتكنولوجيا الطبية المتطورة الموجودة في مستشفى زذا فيوس، وأعتقد أن هذا المستشفى سيكون الصرح الطبي الأول في مجال الرعاية الصحية في الشرق الأوسط.
سيقوم الدكتور راسولي بزيارة مستشفى زذا فيوس بانتظام كجزء من التزام المستشفى باستقدام أطباء عالميين من جميع أنحاء العالم إلى قطر ضمن برنامج الأطباء الزائرين. يعد مستشفى ز ذا فيو س من أهم مشاريع الشراكات الدولية في القطاع الصحي لا سيما وأن Cedarsذ Sinai تتميز بأنها رائدة في الخدمات الطبية في الولايات المتحدة الاميركية؛ و يقدم المستشفى مستوى رفيع من خدمات الرعاية الصحية تحت إشراف أخصائيين من الدرجة الأولى وبالتعاون مع فريق عالمي مدعومًا بأفضل التكنولوجيا الطبية، حيث يسعى للجمع بين الخبرة السريرية والتكنولوجيا المتقدمة والرعاية التي تتمحور حول تجربة علاجية متميزة للزائر.
ويضم المستشفى 240 سريرًا و10 غرف عمليات و23 وحدة عناية مركزة مصممة جميعها لتقديم شتى أنواع الرعاية الصحية بداية من الرعاية الصحية الاولية إلى الثانوية والثالثية. كما تم تجهيز غرف العمليات بأحدث الانظمة والتقنيات الطبية من أجل إجراء مختلف الجراحات المحدودة التدخل، التي تعد الاحدث حاليًا في عالم الجراحة. وتحتوي المستشفى أيضًا على أفضل الروبوتات الجراحية بما في ذلك زروبوت دافنشيس
الذي يساعد على إجراء الجراحات بصورة أسرع وأكثر دقة وبمضاعفات أقل تضمن للمريض رحلة تعافٍ أسرع وأقل ألمًا. كما يحتوي قسم التصوير التشخيصي على جهاز (3T) المغلق للرنين المغناطيسي وآخر مفتوح اضافة الى أحدث أجهزة الأشعة المقطعية (Scanner CT 256 )ومختلف أجهزة الأشعة العادية. كما يوجد أيضًا جهاز تصوير مقطعي وغرفة تصوير بالأشعة السينية في قسم الطوارئ حتى يتسنى للمستشفى إسعاف الحالات الحرجة بأفضل صورة وفي أسرع وقت. أما قسم الصيدلة والمختبر فيضم أيضًا مجموعة من التقنيات الطبية المتميزة؛ حيث يقوم بتوزيع الادوية وتوفير اختبارات الدم الآلية بمساعدة أحدث الروبوتات وأكثرها كفاءة من أجل ضمان الالتزام بأعلى معايير الجودة والسلامة العالمية. تشكل مستشفى زذا فيوس أولى مشاريع شركة إليغانسيا للرعاية الصحية، التابعة لـ ساستثمار القابضة شركة مساهمة عامة قطريةز وترتكز مبادئ الشركة على أسس الرعاية الانسانية والتفوق بمعايير عالمية، وا لالتزام التام بتقديم خدمة استثنائية إنسانية تُعنى بتجربة علاجية متميزة في المقام الأول.
